Zjazvené pľúca a problémy s dýchaním. Fibrózu často odhalia až príliš neskoro Gabriela Šlebodová 29. 9. 2024
FOTO: Mal akoby dve hlavy. Mužovi odoperovali vzácny nádor gigantickej veľkosti Ľubomíra Ivanková 5. 3. 2024
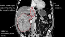
Skutočný hrdina. Muž mal v tele viac než 100 nádorov, napriek tomu sa teší zo života markiza.sk 30. 7. 2017
Zdravie Z vrasteného chlpu vznikol 60-kilový nádor. Lekári mu hovorili, že je iba tučný radoslav kozak 7. 2. 2017
Tehotná žena Mysleli si, že je tehotná. Slzy radosti sa premenili na slzy smútku aleitmannova 17. 3. 2016
Postrach z východu, Michalovce pokorili Slovan šiesty raz v rade. Obhajca zdolal nováčika, Mezei menil históriu
Z Tour de France odstúpil jeden z favoritov na celkový triumf. Slovinský cyklista sa nevyhol hromadnému pádu
Stanka, ktorej sa ľudia vyzbierali na boj s rakovinou, sa už lieči. Z peňazí prispela ďalším dvom pacientkam